Esclerosis Múltiple

Publicado en Blog Etiquetado como Fisioterapia Neurológica, Terapia Manual, Esclerosis Múltiple Escrito por Aymara Abreu

Hace meses iniciamos un proyecto que surgió de una pregunta sin ninguna respuesta. ¿Cual es el mecanismo neurofisiológico que desencadena la pérdida de mielina en el sistema nervioso central y periférico, y que marcadores biomoleculares se relacionan con ello?

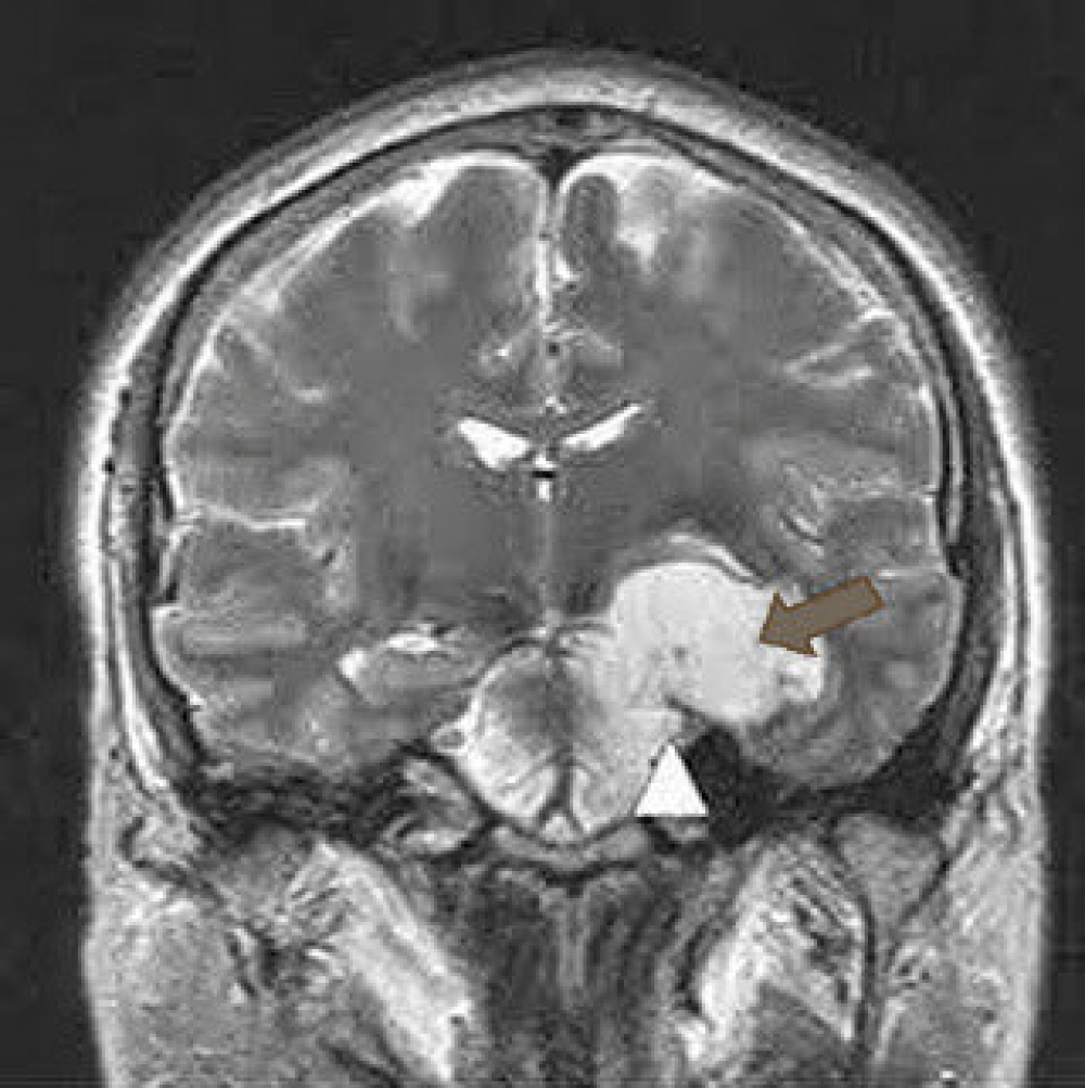
Caso clínico quiste Epidermoide.

Publicado en Blog Etiquetado como Fisioterapia Neurológica, Terapia Manual, ATM Escrito por Aymara Abreu

Paciente de 29 años, que acude a consulta tras IQ (hace 6 años) de quiste Epidermoide del ángulo pontocerebeloso. Abordaje temporo parietal derecho.

Distrofia Miotónica de Steinert. Fenotipo clásico.

Publicado en Blog Etiquetado como Fisioterapia Neurológica, Terapia Manual, Distrofia Escrito por Aymara Abreu

Distrofia Miotónica de Steinert. Fenotipo clásico.